Orthopedic Surgery for Pets
When your pet is injured or having difficulty moving, it can be stressful for both of you. Limping, stiffness, or reluctance to jump or play may be signs of an orthopedic condition affecting your pet’s bones, joints, or ligaments.
At Douglassville Veterinary Hospital, P.c., our veterinary team evaluates orthopedic concerns and helps determine the most appropriate treatment plan, whether that includes medical management, rehabilitation, or surgery. Our goal is to relieve pain, restore mobility, and help your pet return to an active, comfortable life.
Common Pet Orthopedic Surgeries
The following surgeries are routinely performed by our veterinarians to get your pet on the road to feeling better!
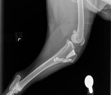
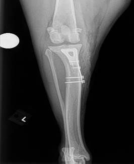
Tibial Tuberosity Advancement (TTA)
This procedure is used to treat cruciate ligament tears by stabilizing the knee joint and altering the forces acting on it. It’s typically recommended for select dogs with specific knee structure and activity levels.


Lateral Suture Stabilization
This extracapsular technique helps stabilize the knee following a cranial cruciate ligament rupture using a synthetic suture placed outside the joint. It’s most commonly used in small to medium-sized dogs.
Femoral Head and Neck Ostectomy (FHO)
In this procedure, the head and neck of the femur are removed to relieve pain from hip joint diseases like hip dysplasia or trauma. The body forms a “false joint” over time, allowing pain-free mobility.
Medial Patellar Luxation (MPL) Repair
This surgery realigns the patella (kneecap) to correct dislocation issues and improve joint function. It’s typically performed in smaller breed dogs experiencing lameness or skipping.
Amputation (Thoracic or Pelvic Limb)
When a limb is severely injured or affected by cancer or infection, amputation may be the best way to relieve pain and restore quality of life. Most pets adjust well and return to normal activity after recovery.
Cranial Cruciate Ligament (CCL) Injury
Pets have a ligament in their knee similar to the human ACL, called the CCL. When it is injured or torn, pets may limp, avoid using the leg, or experience ongoing pain. CCL injuries are common in dogs of all ages and activity levels.
Treatment options vary based on your pet’s size, activity level, and severity of injury. Some cases can be managed without surgery, while others benefit from surgical stabilization. Your veterinarian will help determine the best approach for your pet.
Pet Physical Therapy
Rehabilitation plays an important role in recovery from orthopedic injury or surgery. Physical therapy helps restore strength, mobility, and joint function while reducing pain and preventing future injury.
Some common physical therapy techniques for pets include:
- Therapeutic exercises to build up muscles and strengthen the joint.
- Laser therapy to reduce inflammation and boost healing.
- Hydrotherapy (like swimming or using an underwater treadmill) to help your pet exercise without stressing the joint.
- Massage therapy to improve your pet's circulation and ease any muscle tension.
With the right rehab plan, your pet will be back to their fun, playful self in no time!
Veterinary Orthopedic Surgery in Douglassville
If your pet is showing signs of pain or mobility issues, early evaluation is key. Call (610) 385-4848 or book an appointment online to discuss orthopedic care options.
Book an Appointment Today!
Cookies on this website are used to both support the function and performance of the site, and also for marketing purposes, including personalizing content and tailoring advertising to your interests. To manage marketing cookies on this website, please select the button that indicates your preferences. More information can be found in our privacy policy here.